igiene dentale e prevenzione

L’igiene orale è indispensabile per prevenire l’insorgere di carie e malattia parodontale (conosciuta in passato come piorrea), entrambe patologie che causano danni irreversibili al cavo orale.

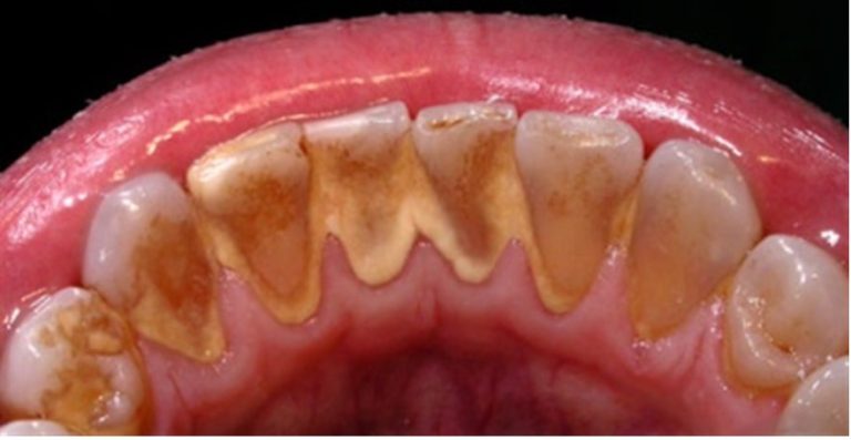
foto di denti con molta placca

La detartrasi, chiamata più comunemente igiene dentale professionale o ablazione del tartaro, è l’eliminazione superficiale e sotto gengivale del tartaro, tramite strumenti manuali e/o ad ultrasuoni.

Il tutto per ottenere un sorriso più bianco e sano.

foto di denti prima e dopo l'igiene dentale professionale

La seduta per un’igiene completa dura da un minimo di 1 ora (nei casi più semplici) . È possibile che un’igiene, a discrezione dell’igienista, possa essere programmata in più sedute (per emiarcata, arcata singola). È altresì possibile che l’igienista possa consigliare dei controlli ravvicinati per controllare la quantità di formazione di placca e la corretta metodologia dell’igiene domiciliare eseguita dal paziente.

La seduta di igiene periodica è l’occasione per il controllo della situazione di tutta la bocca, è il “tagliando”, il “check-up”, a cui tutti dovrebbero sottoporsi almeno 2 volte all’anno.

Sarà nostro compito se il paziente lo desidera effettuare i RICHIAMI PERIODICI PROGRAMMATI.

disegno denti con placca
donna che sorride con spazzolino da denti in mano

Orari di studio

Lunedì 15:00 - 20:30
Martedì 09:00 - 13:00 | 14:00 - 20:00
Mercoledì 15:00 - 20:30
Giovedì 09:00 - 13:00 | 14:00 - 20:00
Venerdì 09:00 - 13:00 | 14:00 - 19:00
Sabato 09:00 - 13:00
Domenica CHIUSO

Prenota un appuntamento, chiamaci ora.